ARDS usually develops in people who are already very ill with another disease or who have major injuries. They are usually already in the hospital when they develop the ARDS.
![]() |
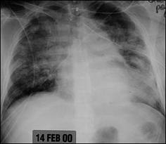
| Acute Respiratory Distress Syndrome |
If you have ARDS your lung function is likely to return to normal or near normal within several months. But some people with ARDS have lasting damage to their lungs or to areas outside the lungs.
Understanding ARDS
Symptoms, Diagnosis and Treatments of ARDS
Living With ARDS
In-Depth Resources

Title: Acute Respiratory Distress Syndrome (ARDS)
Rating: 100% based on 99998 ratings. 5 user reviews.
Report By 12:28 PM
Rating: 100% based on 99998 ratings. 5 user reviews.
Report By 12:28 PM

0 comments:
Post a Comment